Escuchar reggaeton provoca más actividad cerebral que otros géneros musicales
El reggaeton activa la zona del cerebro que está vinculada al movimiento y el placer, incluso más que al escuchar música clásica u otros géneros.
Una investigación científica realizada en el Hospital Universitario Nuestra Señora de la Candelaria en Santa Cruz de Tenerife (Canarias), reveló que el reggaeton (o reguetón), genera mayor actividad cerebral que la música clásica, según PlayGround.
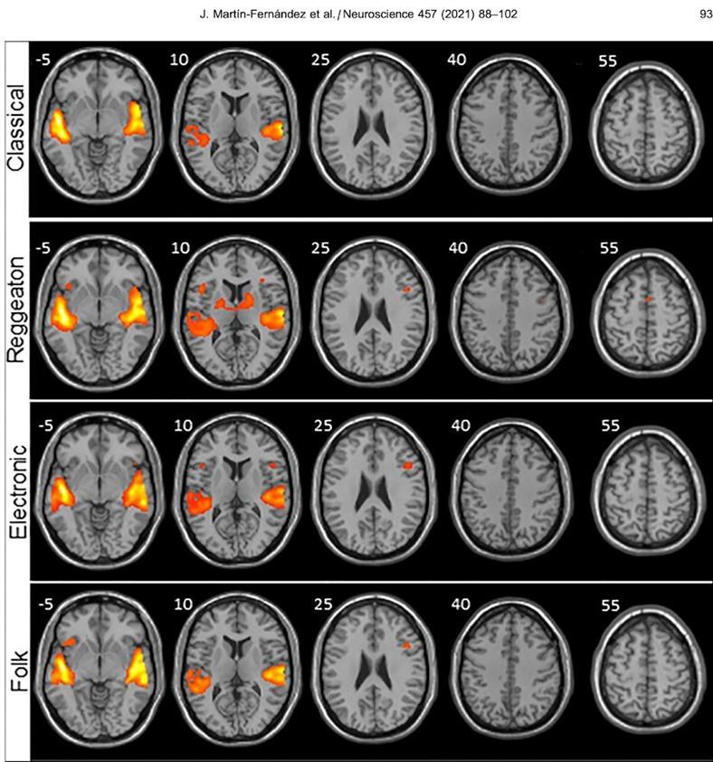
Según el estudio neurológico, el género proveniente de centroamérica provoca una mayor activación en las regiones del cerebro encargadas de procesar no sólo los sonidos, sino también el movimiento. Para llegar a esta conclusión, estudiaron la actividad cerebral que produce escuchar diferentes géneros musicales.
Los investigadores estaban atentos a las señales de activación en los distintos hemisferios del cerebro, siendo el reggaeton el que mostró mayor actividad en los lugares encargados de procesar los sonidos y movimientos. En otras palabras, despertó una zona “primitiva” del cerebro relacionada con los ganglios basales -encargados de modular la postura, comenzar un movimiento, y están involucradas en el sistema del placer-.
“Hay más regiones cerebrales auditivas y motoras que se activan y por lo tanto hay una mayor maquinaria trabajando en procesar la música”, señaló el sitio.
