Matías Assler actualiza su estado tras complejo accidente
Este actor confesó cómo se encuentra a una semana de haberse fracturado la tibia por caerse de un caballo en fiestas patrias.
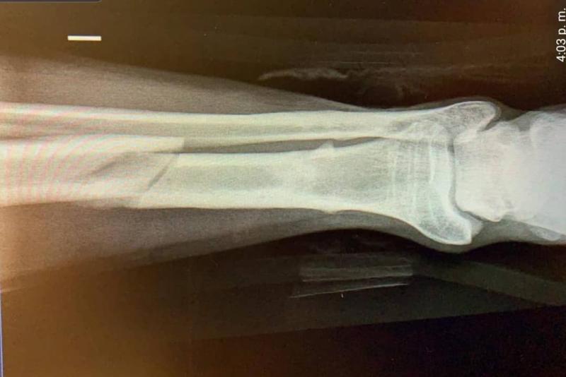
Fue un accidente que lo dejó en reposo y alejado de sus actividades normales. Durante fiestas patrias, Matías Assler, quien interpreta a Rafael en “Amor a la Catalán”, se cayó de un caballo, lo cual provocó que se fracturara la tibia.
A una semana de lo ocurrido, este actor utilizó su cuenta oficial de Instagram (@matiasassler) para actualizar su estado, el cual preocupa a miles de seguidores desde el momento en que se dio a conocer su caída.
“Hoy me levanté, salí de la cama después de 7 días”, partió escribiendo Matías, quien agregó que “en 7 días más empiezo la kinesiología, todos los consejos más que bienvenidos”.
Hay que recordar que el incidente que sufrió Assler se difundió luego de que su pareja, la actriz Juanita Ringeling, subiera una foto con él en camilla el pasado 23 de septiembre. “En las buenas y en las no tan buenas. Así está la cosa por acá”, escribió.









