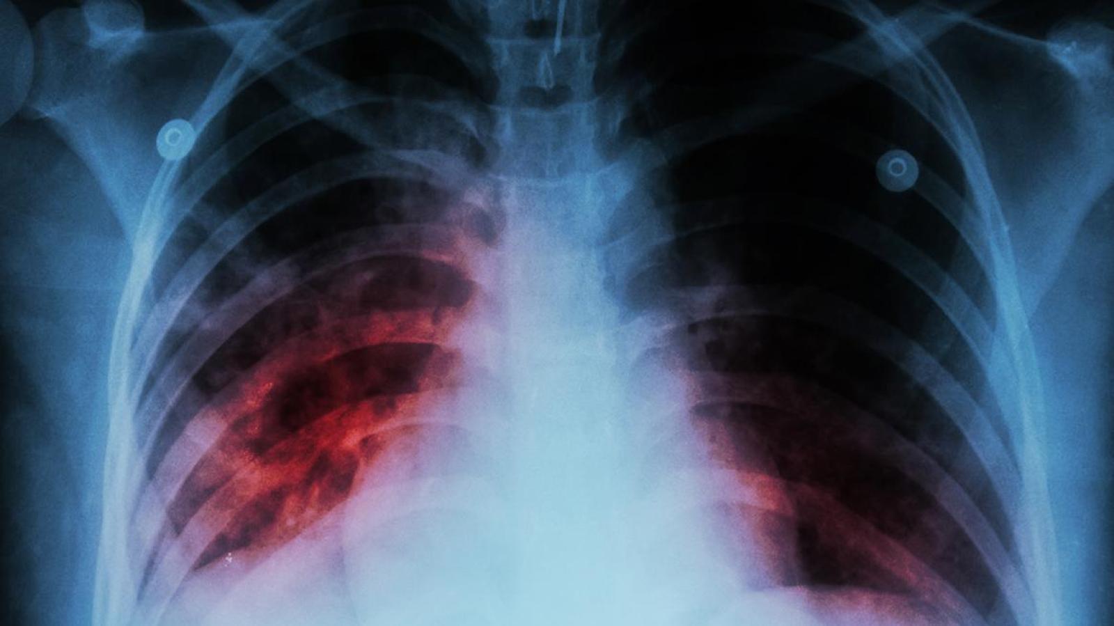
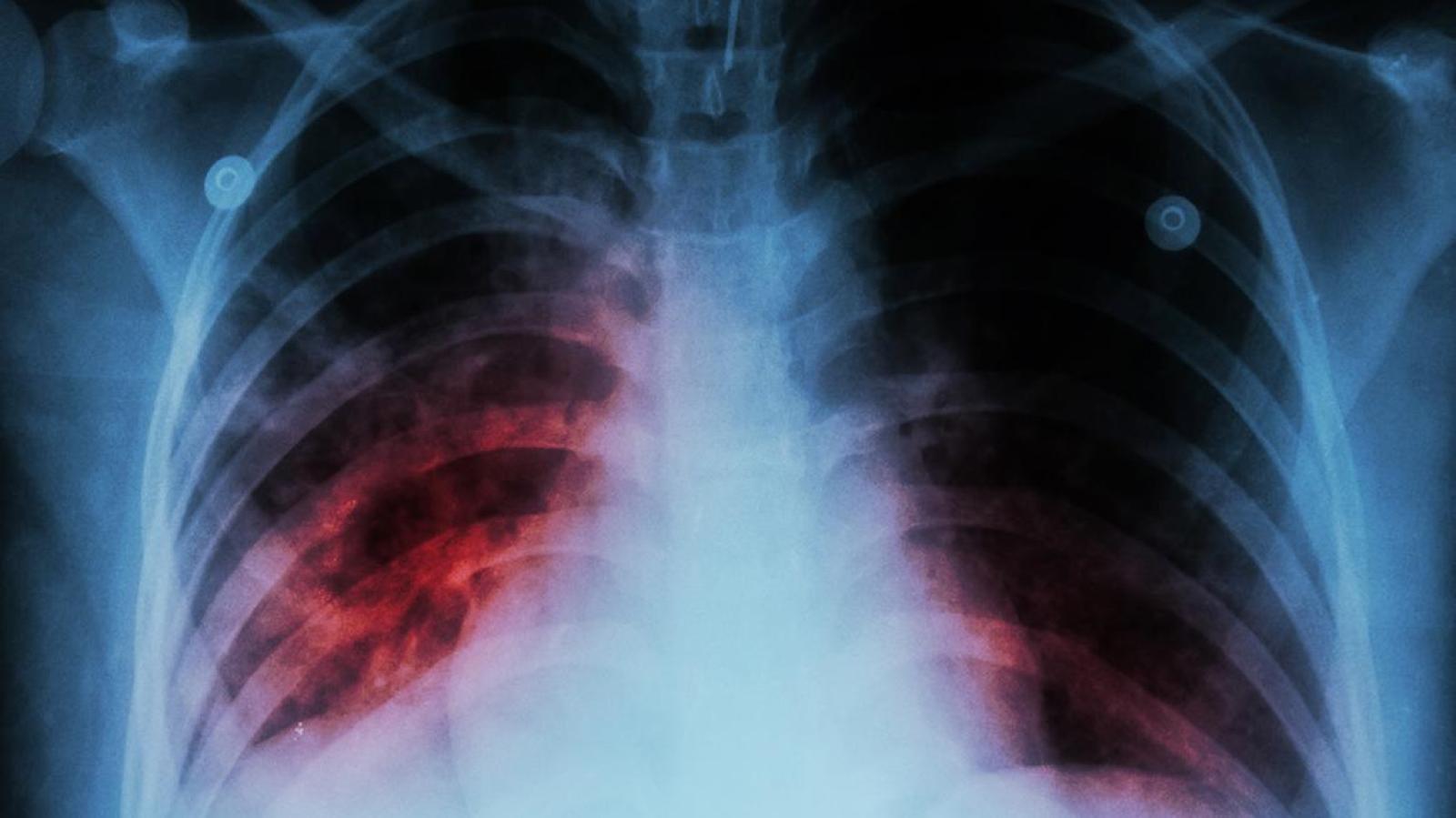
Alerta por caso de tuberculosis en colegio de La Florida: ¿Qué síntomas presenta esta enfermedad?
Preocupación causó la detección de un caso de tuberculosis en una estudiante de un colegio de La Florida, Región Metropolitana.
Aunque en un principio se difundió la noticia de que eran siete casos en la comuna, las autoridades de salud salieron a desmentir aquella información, explicando que se trataba solo de una alumna y que se descarta un brote, ya que la situación estaba controlada.
En conversación con CHV, la secretaria general de la Corporación de Salud y Educación de La Florida, Jeannette Fernández, comentó que buscaron "a todos los contactos, primero la familia y posteriormente a los compañeros y compañeras de la menor. Se han tomado 56 muestras... Se pudo determinar que había un caso confirmado, de esta menor, y seis no reactivos".
De estos últimos, aseguró que "no están activos y solamente forman parte del estudio que están haciendo y tienen que seguir con los exámenes que le están realizando de tórax... En este caso, ninguno ha dado positivo en materia de tuberculosis, por eso no podemos hablar de contagio".
¿Cuáles son los síntomas de la tuberculosis?
Según los Centros de control de enfermedades de Estados Unidos existen tres síntomas principales entre las personas que están desarrollando esta enfermedad: Tos intensa por 3 semanas, dolor en el pecho y tos con sangre o esputo (flema).
De igual forma, consignaron que el paciente puede sentir una pérdida de peso, fatiga, escalofríos, falta de apetito, entre otros.
Asimismo, se explicó que hay dos tipos de tuberculosis: latente y activa.
En la primera, la bacteria se encuentra en el organismo, pero está inactiva y no presenta riesgos de contagios para otras personas. Sin embargo, esta se puede convertir en una de tipo activa, la que se puede presentar días, semanas o años después de la infección.








