"No tiene cerebro": neurólogo le hizo escáner a destacado alumno, y estaba lleno de agua
Una impactante sorpresa fue la que se llevó el neurólogo John Lorber, cuando un día en 1980, llegó un joven y destacado universitario por un dolor de cabeza a su consulta.
El médico notó que el alumno de la Universidad de Sheffield, quien además era un genio de las matemáticas, tenía la cabeza algo más grande de lo normal.
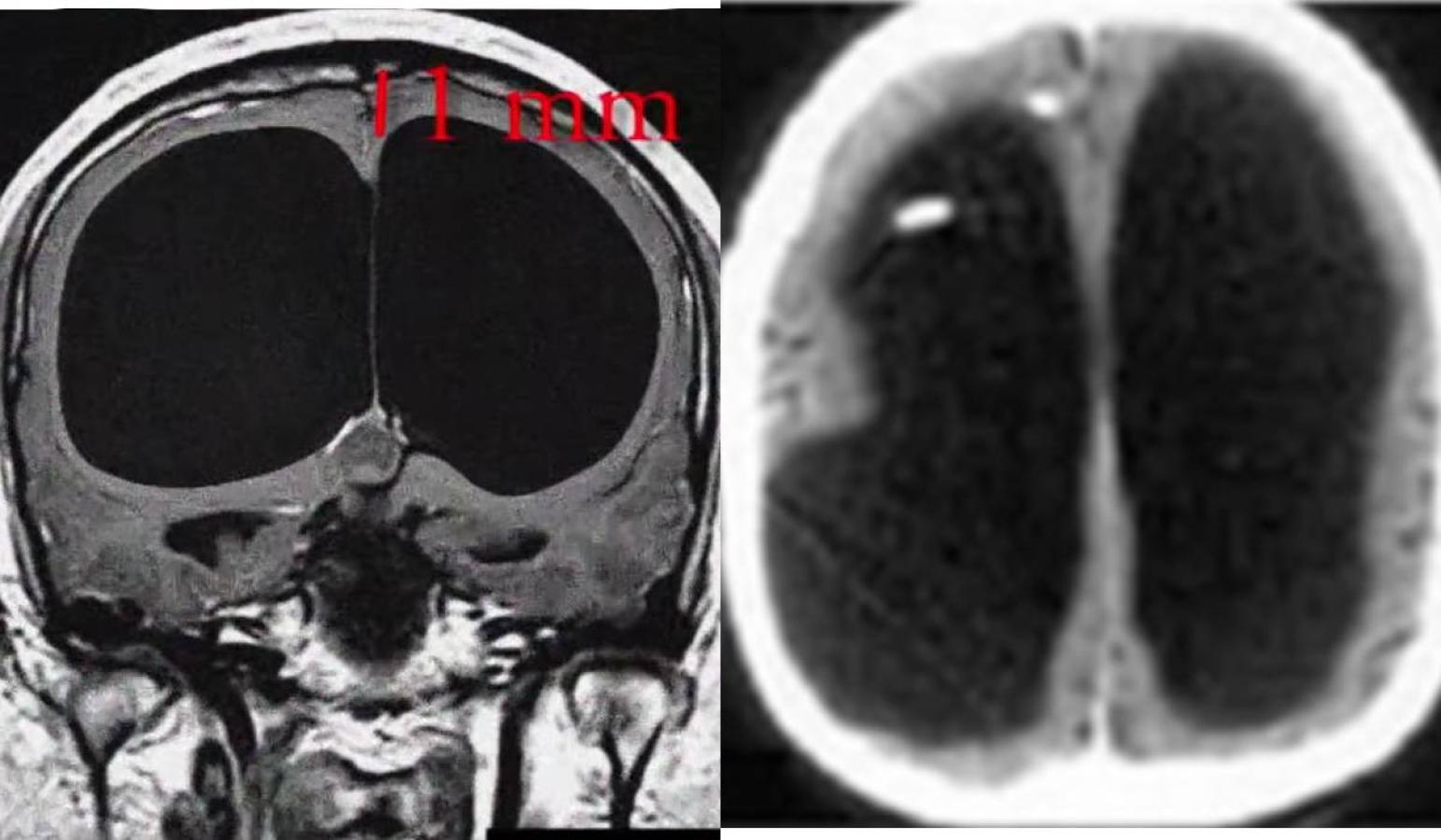
Para disipar sus dudas, decidió realizarle un escáner cerebral. El resultado le voló la cabeza: el muchacho prácticamente no tenía cerebro. Se veía un enorme "hueco" en donde debería estar el cerebro.
Su cabeza estaba llena de agua
John Lorber no podía entender cómo un estudiante destacado, con un IQ de 126 y una vida social totalmente normal podía prácticamente no tener cerebro, y se propuso investigar el tema para dar con la verdad.
En su investigación, publicada como "¿Es tu cerebro realmente necesario?" en "Science", resolvió que el joven estaba lleno de "agua" en el cráneo.
Tenía una enfermedad llamada hidrocefalia, en la que “el líquido cerebroespinal no viaja a través del cerebro, sino que habita la cavidad craneal”.
El biotecnólogo con doctorado en fisiología de enfermedades raras, Daniel Pellicer explica más de lo investigado por Lorber:
"En vez de 4-5 cm de grosor de materia gris y el resto del cerebro de materia blanca (como un cerebro normal), tiene una 'telilla de células'".
"Hablemos de masa: tu cerebro y el mío (espero) pesan algo menos de 1'5 kg. Pues el de este matemático ronda los 50-150 gramos".
Cabe señalar que no se cuenta con los escáneres realizados por Lorber, y las imágenes mostradas son de otros casos que se han conocido, pero representan el estado del joven.
Hay más casos
Lorber quedó impactado por este caso, por lo que observó 600 casos de hidrocefalia, de los cuales 60 tenían menos de 5% de cerebro. Lo más sorprendente: 30 de estos con un alto Coeficiente Intelectual.
A lo largo de la historia ya han quedado registros de otros casos iguales. La psicóloga con doctorado en neurociencias Patri Tezanos, conocida por su canal de Youtube "Antroporama" muestra varios de estos casos.
En la revista científica "Lancet" se mostró el caso de un oficinista de 44 años con hijos y casado, que tenía una vida perfectamente normal y un IQ dentro del rango esperado. Pero, tenía su cráneo lleno de agua.
Cabe señalar que la hidrocefalia es una enfermedad que ocurre cuando se acumula excesivo líquido cefalorraquídeo en el cráneo, líquido en el que normalmente se ubica el cerebro y lo protege.
Es una condición peligrosa, ya que implica un aumento en la presión craneal y daños en el tejido nervioso que pueden llevar a la muerte o problemas cognitivos. No obstante, hay personas que logran alcanzar la edad adulta con un cerebro totalmente funcional.
Muerte de Lorber y explicaciones
El británico John Lorber recibió críticas por no describir de forma más precisa a sus pacientes. Pero el asunto es que su investigación quedó inconclusa, ya que falleció en 1996. Su investigación inconclusa deja muchas dudas que no se pueden resolver por la falta de datos.
Tras esto han surgido teorías sobre qué pasaba con los cerebros estudiados por Lorber y los casos que se han ido conociendo.
"El propio Lorber indicó que el cerebro es un órgano tremendamente redundante, que lo que importa no es tanto la cantidad del tejido, sino la calidad del mismo, el cómo se organice", indica la youtuber Patri Tezanos.
"Algunos investigadores también ven plausible que alguien con tanta poca masa cerebral pueda sobrevivir", señala.
"Si son casos en los que el aumento ventricular ha sido gradual y en el desarrollo, el cerebro ha podido adaptarse y reconfigurarse. Es decir, la tremenda plasticidad del cerebro infantil puede explicar estos casos", agrega.
Pero enfatiza que estas teorías son solamente especulación por ahora.









