Espacio 13C

Datos y panoramas para disfrutar

Fue al médico por migrañas y lo que descubrieron en su cerebro los dejó sorprendidos

Por: Zoe Weinert
Compartir
Facebook Twitter Whatsapp

Un hombre en Estados Unidos llegó al médico por las constantes migrañas que sentía y tras una serie de exámenes descubrieron algo increíble dentro de su cerebro.

Un hombre de 52 años que sufría de migrañas a diario, decidió acudir al médico cuando sus medicamentos dejaron de funcionar y los dolores de cabeza se volvieron insostenibles.

Al realizar una batería de exámenes los médicos descubrieron que el paciente tenía numerosos quistes de una extraña apariencia, por lo que le hicieron pruebas a estos sospechosos quistes y se dieron cuenta de lo impensado; eran larvas.

El hombre tenía gran cantidad de larvas que se habían instalado en su cerebro y que le estaban causando una infección conocida como neurocisticercosis. Y es que no era cualquier larva, eran pertenecientes al parásito Taenia Solium, conocido como “tenia del cerdo”.

¿Cómo se contagió las larvas que causaron las migrañas?

A pesar de que ingerir carne de cerdo poco cocida no puede directamente causar neurocisticercosis en una persona. Según los expertos, el paciente probablemente contrajo primero la tenia intestinal.

Luego por el mal lavado de manos luego de ir al baño, es probable que el paciente haya ingerido los huevos de las tenia que expulsó a través de sus propias heces.

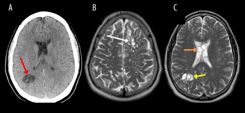
Exámenes que detectaron las larvas causantes de las migrañas. Créditos: American Journal of Case Reporters
Exámenes que detectaron las larvas causantes de las migrañas. Créditos: American Journal of Case Reporters

En un informe publicado en la revista científica American Journal of Case Reports, los médicos señalaron que solo se puede especular sobre la posibilidad de que la cisticercosis del hombre se transmitiera a través de una autoinfección.

Según los Centros para el Control y la Prevención de Enfermedades (CDC) de Estados Unidos, las larvas de tenia primero entran en tejidos para formar estos quistes que cuando se encuentran en el cerebro se convierte en la afección conocida como neurocisticercosis".

"Las personas contraen cisticercosis cuando tragan huevos de T.solium que se eliminan en las heces de un ser humano con una tenia", aseguran desde los CDC.

Afortunadamente, el paciente respondió favorablemente a los medicamentos antiparasitarios y antiinflamatorios, y se recuperó por completo.

PUEDES VER MÁS NOTAS DE ESTE TIPO AQUÍ EN ESPACIO 13C

Comentarios