Mujer se salvó de un balazo gracias a sus implantes de silicona
El caso impactó al grupo médico que la atendió.
A lo largo de los años, la fama de los implantes de silicona ha pasado por altos y bajos. Sin embargo, sigue siendo una de las intervenciones estéticas más cotizadas de momento.
Y hoy una curiosa noticia que se toma los titulares parece darles más relevancia que nunca: le salvaron la vida a una mujer que recibió un disparo en el pecho.
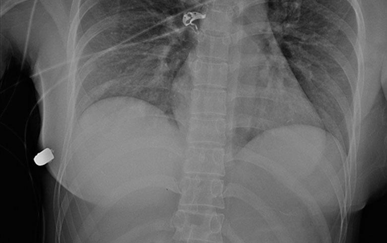
El sitio especializado en estudios clínicos Sage Journals, da cuenta del increíble caso de una canadiense de 30 años cuyo implante mamario logró desviar la trayectoria de la bala.
El portal además relata que la paciente no sintió el impacto, pues solo se percató de este cuando sintió calor y dolor en el pecho izquierdo, el cual yacía ensangrentado.
Las imágenes adjuntas al artículo médico dan cuenta de lo fundamental que fue la presencia de estos implantes, pues repelieron a la perfección el balazo.


